Two common procedures for receding gums are gum grafting and the Pinhole surgical technique. Both methods aim to restore gum tissue and protect teeth from further damage. In this article, we will know more about the benefits and differences between the gum grafting procedure and the Pinhole technique to help you decide which option is best for you.
Understanding Gum Recession and Its Impacts on Oral Health
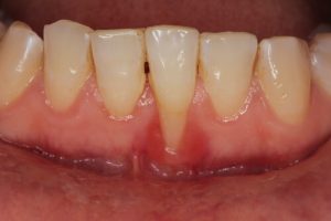
Understanding gum recession and its impacts on oral health are crucial for maintaining a healthy mouth and preventing dental issues. This condition, characterized by the pulling away of gum tissue from the teeth, exposes the roots and can lead to serious oral problems if gum disease is left untreated.
- Causes of Gum Recession: Periodontal disease, aggressive tooth brushing, teeth grinding, and natural aging can contribute to gum recession, exposing roots, and increased risk of tooth decay.
- Consequences of Gum Recession: Exposed roots due to gum recession can result in tooth sensitivity, aesthetic concerns, and eventually tooth loss. It also compromises the stability of surrounding teeth and dental implants.
- Traditional Gum Grafting Surgery: This treatment involves transplanting tissue to cover the exposed tooth roots, protecting them from further damage and improving the gum line’s appearance.
- Pinhole Surgical Technique: A minimally invasive alternative, pinhole gum rejuvenation uses specialized instruments to gently reposition the gum tissue over the exposed roots, reducing recovery time and discomfort.
- Importance of Treatment: Addressing gum recession through appropriate treatments not only enhances the smile’s aesthetic appearance but also safeguards against more severe oral health issues in the future.
The Gum Graft Procedure: What to Expect
The gum graft procedure is a well-established treatment for addressing gum recession and its associated risks. It involves the surgical addition of tissue to areas of loose teeth where the gum has receded, thereby protecting exposed tooth roots and improving the aesthetics of one’s smile. This procedure is crucial for those experiencing significant gum recession, as it helps prevent further oral health complications.
- Initial Consultation: The journey starts with an in-depth assessment conducted by a dental expert, typically a periodontist, to ascertain the severity of the gum recession and identify the most appropriate treatment plan.
- Tissue Source Selection: The gum graft may involve tissue taken from the patient’s palate (autograft), donor tissue (allograft), or synthetic materials, depending on the case’s specifics and patient preferences.
- Surgical Procedure: The selected tissue is surgically attached to the affected area, covering the exposed roots. This procedure is usually carried out with local anesthesia to reduce any discomfort.
- Recovery and Healing: Post-surgery, patients can expect a healing period, with specific instructions for oral care, to ensure successful graft integration and minimize complications. The recovery process varies but often involves dietary restrictions and limited physical activity.
- Follow-Up Care: Routine check-ins with the dental expert are crucial for tracking the healing progress and evaluating the success of the graft. These sessions also offer a chance to discuss any issues or complications that emerge.
Exploring the Pinhole Surgical Technique: A Minimally Invasive Option

The Pinhole Surgical Technique (PST) presents a minimally invasive alternative for treating gum recession, offering patients a less painful and quicker recovery option than traditional gum grafting. This innovative procedure, developed by Dr. John Chao, has revolutionized the treatment of gum recession by eliminating the need for incisions and sutures, significantly reducing the discomfort and healing time of most patients.
- Procedure Overview: The technique involves creating a small pinhole in the gum tissue above the area of recession. Specialized tools are employed to softly loosen and shift the gum tissue over the tooth’s receded area.
- Immediate Results: One of the most appealing aspects of the pinhole technique is the instant improvement in the gum line, with results visible immediately after the procedure. This offers aesthetic benefits and immediate protection for the exposed tooth roots.
- Reduced Discomfort and Recovery Time: Patients typically experience minimal discomfort and swelling, thanks to the less invasive nature of the procedure. The recovery period is significantly shorter, often allowing patients to resume normal activities the following day.
- No Need for Donor Tissue: Unlike traditional gum grafting, the pinhole technique does not require tissue harvesting from the palate or using donor tissue, which further minimizes pain and recovery time.
- Long-Term Results: Studies and patient experiences have shown that the pinhole surgical technique provides durable results, effectively stopping gum recession progression and protecting teeth over the long term.
Recovery and Aftercare: Gum Graft vs Pinhole
Recovery and aftercare are crucial components of successful outcomes for gum graft and pinhole surgical techniques, each with its distinct approach and patient experience. While both procedures aim to address gum recession and protect against further dental issues, the donor site recovery process and aftercare instructions differ significantly due to the invasiveness of the techniques.
- Gum Graft Recovery: Patients undergoing gum graft surgery can expect a longer recovery period, typically requiring one to two weeks for initial healing. Discomfort, swelling, and dietary restrictions are common post-operative experiences, with patients advised to consume soft foods and avoid vigorous oral hygiene routines in the treated area until fully healed.
- Pinhole Technique Recovery: Recovery from the pinhole surgical technique is generally faster, with many patients reporting minimal pain and swelling. The lack of incisions and sutures allows for a quicker return to normal activities, often within 24 to 48 hours post-procedure.
- Aftercare for Gum Grafts: Aftercare for gum grafts includes regular follow-up visits to monitor healing, adherence to prescribed pain management and oral hygiene instructions, and possible use of antimicrobial mouthwashes to prevent infection.
- Aftercare for Pinhole Surgery: Aftercare focuses on gentle oral hygiene practices to avoid disturbing the treated area and avoiding hard or crunchy foods for a short period post-procedure. Regular dental check-ups are also essential to ensure the success of the treatment.
- Long-term Maintenance: Regardless of the procedure, long-term maintenance, including proper oral hygiene practices, regular dental visits, and addressing any underlying issues like teeth grinding, is essential to protect the investment in your gum health and prevent the recurrence of recession.
Making the Choice: Factors to Consider When Deciding Between Gum Graft and Pinhole Surgery

Deciding between gum graft and pinhole surgery for treating gum recession involves weighing several factors to determine the most suitable option for an individual’s dental needs and overall health. Both procedures offer effective solutions for gum recession treatment but differ in methodology, recovery time, and patient experience.
- The extent of Gum Recession: The severity and pattern of gum recession can influence the choice between procedures. A gum graft may be more suitable for extensive recession or when there’s a need for significant tissue augmentation.
- Patient Comfort and Recovery Time: Patients seeking a procedure with minimal discomfort and a quicker recovery might prefer the pinhole surgical technique due to its less invasive nature.
- Aesthetic and Functional Expectations: While both treatments improve gum health and protect against further recession, the choice may depend on the patient’s aesthetic expectations and the specific functional outcomes they desire.
- Long-term Durability: Considering the long-term effectiveness and durability of the results is crucial. Patients should discuss the expected longevity of outcomes based on current research and clinical experiences with their periodontist or dentist in Croydon, VIC at Maroondah Dental Care clinic.
- Cost and Insurance Coverage: Financial considerations, including the cost of the procedure and insurance coverage, can also play a significant role in the decision-making process. Patients must review their insurance benefits and discuss payment options with their dental care provider.
In conclusion, when comparing gum graft vs pinhole techniques for receding gums, it is important to consider each patient’s specific needs. While traditional gum grafting may provide long-lasting results, the minimally invasive, pinhole gum surgery technique offers a quicker recovery and less discomfort. Ultimately, consulting a qualified periodontist is the best way to determine the most suitable treatment option.
References
Gum Graft Surgery: What it Is, Procedure & Recovery
https://my.clevelandclinic.org/health/treatments/23504-gum-graft-surgery
Pinhole Surgical Technique for Treatment of marginal soft tissue recession: A case series – PMC
https://www.ncbi.nlm.nih.gov/pmc/articles/PMC5846251/
(PDF) Periodontal Pinhole Surgery For Gingival Recession: A Case Report
https://www.researchgate.net/publication/357118006_Periodontal_Pinhole_Surgery_For_Gingival_Recession_A_Case_Report
Gum Tissue Graft Surgery: Procedure, Recovery, Complications, Cost
https://www.webmd.com/oral-health/gum-tissue-graft-surgery
Gum graft: Procedure, recovery, and cost
https://www.medicalnewstoday.com/articles/322115


Comment here